青岛日报社/观海新闻4月27日讯 近日,青岛市市立医院东院运动医学科副主任薛子超成功为一名17岁高中生实施后踝撞击综合征关节镜微创手术。术后患者恢复良好,长期困扰他的足踝疼痛得到解除,足球少年有望重返绿茵场。
小王(化名)对足球有着近乎痴迷的热爱,只要有时间就在球场上,一周至少踢三四场,风雨无阻。半年前,他开始感到左脚踝后方隐隐作痛。起初他以为是普通扭伤,并未在意,坚持带伤训练和比赛。但随着时间推移,疼痛愈发严重,甚至影响正常行走,让他不得不暂时告别心爱的足球场。

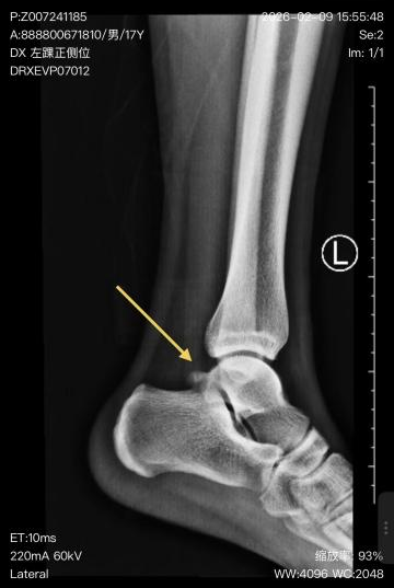
小王来到薛子超门诊就诊,经详细查体与影像学评估,“左踝距骨骨赘、后踝撞击综合征”诊断明确。后踝撞击综合征,是指踝关节后方骨性或软组织结构在踝跖屈(脚尖向下)时受到撞击、挤压,从而引起疼痛、肿胀和活动受限的一种常见运动损伤。该病好发于需要反复进行脚尖下压动作的人群,足球运动员正是高发群体之一——无论是射门、传球还是盘带,都需要频繁的踝跖屈动作。此外,芭蕾舞演员、体操运动员以及长期穿高跟鞋的人群也易患此病。若不及时治疗,可能导致软骨损伤、骨赘形成,甚至发展为创伤性关节炎,严重影响运动生涯和生活质量。

患者年仅17岁,正处于生长发育关键期,且有强烈的重返赛场的需求,传统开放手术创伤大、恢复慢、易留疤痕,还可能影响关节功能,经过全面评估、反复研讨,薛子超为其制定了个性化的关节镜微创手术方案。手术当天,薛子超仅在小王踝部做了两个5毫米左右的微小切口,通过关节镜精准清除了增生的滑膜组织和撞击的骨赘,最大限度保护了周围正常软组织与关节结构。得益于微创手术的优势,小王术后第二天便可在支具保护下缓慢负重行走,配合专业的康复指导,逐步进行踝部功能锻炼。
薛子超提醒,青少年运动人群活力充沛、运动量大,是运动损伤的高发群体。若出现踝关节反复疼痛、活动受限,尤其是在发力、关节屈伸时疼痛加剧,切勿盲目“硬扛”或当作普通扭伤处理,应尽早到专业运动医学科室就诊,排查后踝撞击综合征等运动损伤。关节镜微创手术可精准解决病痛,助力青少年运动爱好者快速回归运动与正常生活。(青岛日报/观海新闻记者 黄飞)
责任编辑:孙源熙