近日,我院心脏中心本部心内科结构性心脏病团队借助多学科诊疗(MDT)模式,为一名混合型二尖瓣膜重度反流患者,完成经导管二尖瓣夹缘对缘修复术(TEER),成功将患者术前重度二尖瓣反流处理成轻度,让不堪重负的心脏重新焕发生机。此例高难度二尖瓣夹缘对缘修复术的顺利完成,展示出结构性心脏病团队在高危、疑难、复杂结构性心脏病微创介入诊疗方面的硬实力,进一步推动心脏微创技术革新,为瓣膜病患者带来“心”希望。
心脏“阀门”失灵,深陷“心门危机”
69岁赵女士(化名)因胸闷、憋气伴腹胀,起初只是以为消化不良于本部消化内科就诊。但细心的医生经心脏超声发现了二尖瓣脱垂并反流(重度),为进一步诊治转入本部心内科。
完善检查后,本部心内科主任王正忠判断心脏二尖瓣瓣膜重度反流是导致患者目前症状的“罪魁祸首”——这是一例二尖瓣原发性脱垂累及交界合并功能性反流的混合型患者。

△资料图片
追问病史该患者还合并乳腺癌术后和肾脏占位病史,后续还有一系列治疗;面对患者对生命的渴求和危重复杂的病情,王正忠立即报告医务科组织本部心内科结构性心脏病团队与超声介入科、心脏超声科、麻醉手术科、乳腺外科、泌尿外科等多学科展开探讨:如果做外科开刀手术,患者面临着极度虚弱、创伤大等高风险、恢复周期长;而患者左心系统已经明显扩大,重度心衰合并多脏器受累,自身也难以耐受外科开刀。最终MDT团队讨论后决定,为患者实施微创经导管二尖瓣夹缘对缘修复术来解决患者当下瓣膜病。
技术突破,微创介入成功修复心脏“阀门”
和传统外科手术相比,二尖瓣夹缘对缘修复术无需开胸,而是在跳动心脏上进行微创手术,无需体外循环,不需要置换患者本体的瓣膜,减少了手术风险,更适合高龄、心功能差或伴有基础病的患者。由于手术创伤小,患者耐受性好容易接受介入微创干预改善二尖瓣大量反流,挽救濒危的心脏。


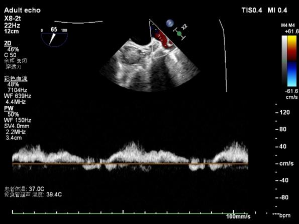
与患者及家属充分沟通并征得同意后,手术如期举行。术中在食道超声引导下,王正忠团队凭借精湛的介入操作技术,从下腔静脉右房到左房穿刺房间隔,手术先后下了3个二尖瓣夹合装置,精准夹合重度脱垂反流的二尖瓣,手术效果立竿见影,食道超声显示夹合组织充分,二尖瓣反流量由重度(4+)降至微量(1+)。术后随访患者恢复良好,心功能得到明显改善。


△TEER术后二尖瓣反流由重度变成少量
结构性心脏病领域的革命性突破
二尖瓣如同心脏的“阀门”,二尖瓣反流是我国最常见的心脏瓣膜病。由于高龄、并发症等原因,超过2/3的二尖瓣重度反流患者无法接受外科开胸手术。
二尖瓣夹缘对缘修复术(TEER)以较小的创伤解决复杂瓣膜问题,患者痛苦少、恢复快、耐受度高,已经为二尖瓣重度反流患者重燃康复希望。
我院心脏中心紧跟国内外诊疗技术前沿,持续强化技术创新,在结构性心脏病介入治疗领域不断登峰,可为心脏瓣膜病患者提供主动脉瓣、二尖瓣微创治疗以及传统开胸等多元化的临床治疗选择。

王正忠
心脏中心本部心内科主任 主任医师 医学博士 硕士研究生导师
专业擅长:复杂冠脉介入诊疗技术,经导管主动脉瓣置换术 (TAVR) 等;熟练掌握永久起搏器包括无导线起搏器、经皮心埋藏式除颤仪(SICD/ICD)、心脏收缩调节器(CCM)及心脏再同步化技术(CRTD)等。
门诊时间:周一、周三上午(本部)

侯方杰
心脏中心本部心内科副主任 副主任医师 医学博士 硕士研究生导师
专业擅长:IVUS、OCT、FFR等腔内影像技术指导的冠心病的精准介入治疗,经导管主动脉瓣置换术(TAVR),卵圆孔未闭封堵术,永久性起搏器植入术。
门诊时间:周一、周五上午 周三下午(本部)
(青岛早报/观海新闻记者 吴涵)
责任编辑:魏笑